Command Palette

Search for a command to run...

Domain 3

Cervical Transforaminal & Interlaminar Epidurals

Procedure Images1 / 3

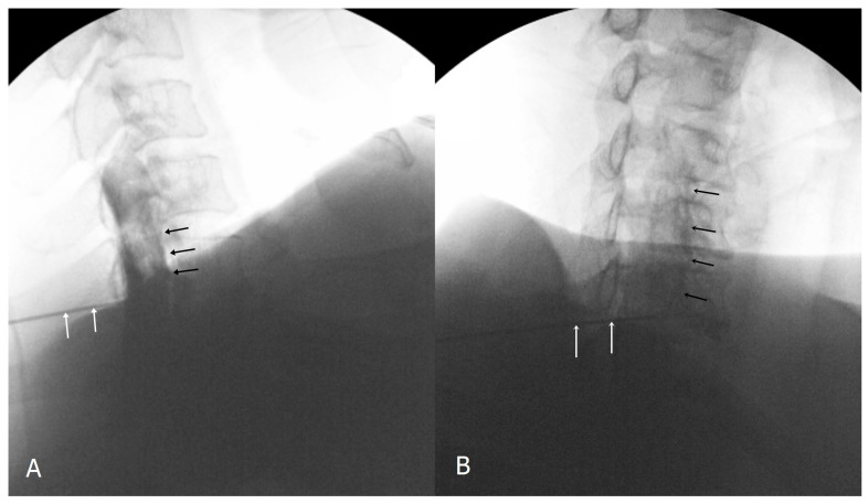
Cervical interlaminar epidural injection: lateral view (A) and contralateral oblique view (B) showing ventral epidural contrast spread. White arrows indicate the Tuohy needle position.

Procedure Videos

Interlaminar Cervical Epidural Steroid Injection: Step-by-Step Guide

International Anesthesia Research Society

Step-by-step demonstration of cervical interlaminar ESI technique with fluoroscopic guidance, covering patient positioning, needle advancement, and contrast confirmation.

Technique & Approach

Cervical TFESI Technique

Cervical transforaminal epidural steroid injection is arguably the highest-risk commonly performed procedure in interventional spine medicine. Meticulous technique and strict adherence to safety protocols are essential.

Step-by-Step Cervical TFESI

  1. Patient positioning: Supine or prone — supine is preferred by many practitioners to allow patient communication during the procedure and early detection of neurological symptoms
  2. Fluoroscopic guidance: AP view to identify the target level, then oblique the C-arm 45-55 degrees to visualize the cervical foramen
  3. Target identification: The posterior aspect of the cervical neural foramen — the needle must stay posterior to avoid the vertebral artery, which runs anteriorly
  4. Needle selection: 25-gauge, 2.5-3.5 inch spinal needle
  5. Critical safety step: On lateral view, the needle must remain in the posterior half of the foramen at all times. Advancing the needle anteriorly risks vertebral artery puncture
  6. Contrast injection: Non-ionic contrast with live fluoroscopy or DSA to detect any vascular uptake
  7. Steroid selection: DEXAMETHASONE ONLY — typically 4 mg (1 mL of 4 mg/mL preparation)
  8. Volume: Keep total volume small — 2-4 mL to avoid cervical cord compression from volume effect

Cervical Interlaminar Technique

When cervical interlaminar is chosen (less common), additional precautions apply:

  1. Epidural space: The posterior cervical epidural space is only 1.5-2 mm at C6-7 — extremely narrow
  2. Approach: Lateral (paramedian) approach may provide a safety margin by entering slightly off-midline, reducing risk of direct cord contact
  3. Loss of resistance: Must be combined with fluoroscopic guidance
  4. Volume: Keep injection volume small to avoid cord compression
  5. Monitoring: Close observation for any signs of cord compression during and after injection

Critical Vascular Anatomy

Understanding the vascular anatomy is essential for safe cervical TFESI:

  • Vertebral artery: Runs through the transverse foramen from C6 to C1 — directly anterior and lateral to the neural foramen. Aberrant positioning is common.
  • Radiculomedullary arteries: Feed the anterior spinal artery and can enter at any cervical level. Embolization of particulate steroid causes cord infarction.
  • Ascending and deep cervical arteries: Course in the posterior cervical foramen and may be in the needle path
  • Extravascular perivertebral artery contrast flow: Seen in approximately 50% of CTFESIs, this benign flow along the external surface of the vertebral artery (within the interstitium of the venous plexus) must be distinguished from true intravascular or intramural injection

Cervical TFESI: SAP Angle Technique (per IPSIS)

The IPSIS Technical Manual describes two approaches for setting up the cervical transforaminal trajectory view:

  • Laminar angle approach: Only safely applied when the ventral SAP and laminar cortical surfaces are in the same plane (coplanar). Rotate the fluoroscope approximately 45 degrees ipsilateral to maximize the transverse dimension of the foramen. The degree of obliquity tends to increase for more caudal cervical segments.
  • SAP angle approach (modified Levi technique): Based on pre-procedure MRI or CT measurement, select the degree of fluoroscope obliquity such that the X-ray beam is parallel to the SAP ventral cortex. When the lamina and SAP are NOT coplanar, greater obliquity is required to separate and profile the SAP. Guiding the needle along the lamina rather than the SAP in a foramen with noncoplanar anatomy will place the needle dangerously deep into the foramen before bony contact.
  • Critical safety point: Cross-sectional imaging should always be examined pre-procedure to determine if the lamina and SAP are in the same plane. If not concordant, measure the SAP angle for generating the trajectory angle.

Cervical Foramen Anatomy (per IPSIS)

  • The cervical neural foramen has been described as a double funnel shape. The dorsal root ganglion/ventral root complex is surrounded by a robust venous plexus within the foramen. There is little or no observable fat within the cervical foramen.
  • The vertebral artery usually enters the transverse foramen at C6 but may enter at C5. Aberrant positioning can fill the foramen entirely, preventing safe access.
  • The carotid sheath structures lie anterior to the access trajectory. A contralateral head turn displaces the carotid sheath away from a typical access path.
  • The cervical/brachial plexus lies immediately peripheral to the foramen, which may require a more oblique needle trajectory.

Cervical TFESI Needle and Injectate Specifications (per IPSIS)

  • Needle: 25-27G spinal needle, 1.5-3.5 inch, which may be curved within the distal 5 mm for improved steering
  • Steroid: Only nonparticulate dexamethasone — maximum recommended dose is 10 mg per injection
  • Total volume: 2-4 mL for therapeutic CTFESI
  • Drug compatibility: If local anesthetic is mixed with dexamethasone, use only lidocaine or bupivacaine. Ropivacaine must be avoided (produces large crystals).
  • Local anesthetic test dose: The risks and benefits should be weighed carefully — an inadvertent intra-arterial test dose can cause seizures via the vertebral artery

Cervical Interlaminar: Additional IPSIS Details

  • Recommended access level: C7-T1 (preferred), C6-7, or T1-2. Never perform interlaminar access above C6-7.
  • Paramedian preference: A high prevalence (approximately 70% at C7-T1) of midline ligamentum flavum defects gives the paramedian approach a safety advantage.
  • Depth imaging: CLO imaging at approximately 50 degrees is generally preferred over lateral view for cervical interlaminar access. The laminar angle measured on pre-procedure MRI determines the precise CLO angle.
  • Particulate steroids are acceptable for cervical interlaminar because there is no arterial communication between the dorsal epidural space and spinal cord. Maximum dose: 40 mg methylprednisolone or equivalent.
  • Local anesthetic caution: It is generally unnecessary to inject local anesthetic for cervical interlaminar, as it introduces risk of respiratory depression/arrest from intrathecal injection. If used, small volumes of short-acting agents only.

Key Points

  • Cervical TFESI is the highest-risk commonly performed procedure in interventional spine
  • Needle must stay in the POSTERIOR half of the foramen on lateral view at all times
  • Dexamethasone is the ONLY acceptable steroid for cervical TFESI — particulate steroids can cause stroke or death
  • Total injectate volume should be kept to 2-4 mL to avoid cervical cord compression
  • Supine positioning is preferred to allow patient communication and early neurological symptom detection
  • The posterior cervical epidural space is only 1.5-2 mm wide at C6-7
  • Always use live fluoroscopy or DSA during contrast injection to detect vascular uptake
  • IPSIS describes the SAP angle (Levi) technique for cervical TFESI — critical when lamina and SAP are not coplanar
  • Approximately 50% of CTFESIs show benign extravascular perivertebral artery contrast flow — must distinguish from true intravascular injection
  • Cervical interlaminar access should not be performed above C6-7; C7-T1 is the recommended level (per IPSIS)
  • 70% prevalence of midline ligamentum flavum defects at C7-T1 favors paramedian over midline interlaminar approach (per IPSIS)
  • CLO imaging at approximately 50 degrees is preferred over lateral for cervical interlaminar depth assessment (per IPSIS)
  • Never mix ropivacaine with dexamethasone for cervical TFESI — produces large crystals capable of arteriolar occlusion
  • The cervical foramen has a double-funnel shape with a robust venous plexus and little to no intraforaminal fat

References

  • Scanlon GC et al. (2007). Cervical transforaminal epidural steroid injections: more dangerous than we think?. Anesthesiology.
  • Rathmell JP et al. (2004). Catastrophic events associated with cervical epidural steroid injections. Anesthesiology.