Command Palette

Search for a command to run...

Domain 4

Diagnostic Selective Nerve Blocks

Procedure Images1 / 4

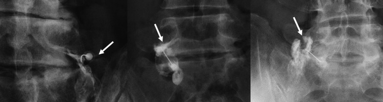
Three fluoroscopic contrast patterns during L5 selective nerve root block: Type 1 (contrast along nerve root), Type 2 (contrast in foramen but not around root), Type 3 (no root or foramen contrast). Pattern type affects diagnostic reliability.

Procedure Videos

Selective Nerve Root Block or Transforaminal Epidural Steroid Injection

Joseph Ibrahim

Covers the diagnostic use of selective nerve root blocks for localizing the pain generator, and the overlap with transforaminal epidural technique.

Technique & Approach

Small Volume Diagnostic Nerve Block Technique

Diagnostic selective nerve root blocks (SNRBs) are distinct from therapeutic TFESI. The goal is to selectively anesthetize a single nerve root with a small volume of local anesthetic to confirm it as the pain generator.

Key Differences from Therapeutic TFESI

| Parameter | Diagnostic SNRB | Therapeutic TFESI | |-----------|----------------|-------------------| | Volume | 0.3-0.75 mL | 1.5-2.5 mL | | Medication | Local anesthetic only | Steroid + anesthetic | | Goal | Confirm pain generator | Reduce inflammation | | Assessment | Pain relief during anesthetic window | Sustained improvement |

Step-by-Step Technique

  1. Document baseline pain: Record VAS/NRS pain score before the procedure. The patient must have active, concordant pain at the time of the block.
  2. Fluoroscopic guidance: Same setup as TFESI — AP view to identify level, then oblique to visualize the foramen
  3. Needle placement: Same periforaminal target as TFESI, using a 22-25 gauge spinal needle
  4. Contrast injection first: Inject 0.1-0.3 mL of contrast to confirm position and observe the spread pattern — critical to verify limited, localized spread
  5. Local anesthetic injection: Inject approximately 0.5 mL (range 0.3-0.75 mL) of local anesthetic
    • Lidocaine 1-2% for shorter duration (30-90 min)
    • Bupivacaine 0.25-0.5% for longer duration (2-6 hours)
  6. Immediate assessment: Evaluate pain relief within 15-30 minutes
  7. Activity challenge: Ask the patient to perform activities that typically provoke their pain during the anesthetic window

Why Small Volume Matters

Volume is the critical differentiating factor:

  • Larger volumes spread to adjacent levels, reducing diagnostic specificity
  • 0.5 mL selectively anesthetizes a single nerve root without significant spread
  • False positive rates increase with larger volumes — this is one of the most important technical points
  • Contrast injection before anesthetic confirms that the spread pattern is limited to the target nerve

Pain Assessment Protocol

  • Use a pain diary: Have the patient document pain levels every 30 minutes for 6-8 hours after the block
  • Ask specific questions: Is the concordant pain (the pain that brought them in) improved?
  • Distinguish pain types: Procedure-related soreness at the injection site does not count as a negative response
  • Timing: Assess within the expected duration of the anesthetic used
  • Activity testing: The patient should attempt provocative maneuvers during the anesthetic window

IPSIS Specifications for Diagnostic Spinal Nerve Blocks

The IPSIS Technical Manual provides precise specifications that differ by spinal region:

Lumbar Spinal Nerve Block:

  • Use 0.2 mL of high-concentration anesthetic (e.g., 4% lidocaine) — even volumes as low as 0.5 mL have been shown to be nonselective in the lumbar spine
  • Inject 0.2-0.3 mL of contrast first to verify limited spread to the target nerve only
  • No steroid should be used — the added volume decreases specificity
  • A retroneural approach with more lateral needle tip placement improves selectivity by directing injectate to the spinal nerve
  • Beware of lateral flow to the plexus, which would invalidate selectivity
  • Lidocaine is preferred over longer-acting agents to limit the duration of motor block and the recovery period

Cervical Spinal Nerve Block:

  • Use 0.2-0.3 mL of high-concentration anesthetic (e.g., 4% lidocaine, 0.25-0.75% bupivacaine, or 0.2-0.75% ropivacaine)
  • Inject 0.2-0.3 mL of contrast to evaluate spread pattern first
  • Consider a more lateral needle tip placement to improve selectivity
  • Evaluate contrast flow carefully — spread beyond the targeted spinal nerve either centrally into the foramen or laterally to the plexus increases the false-positive likelihood

Thoracic Spinal Nerve Block:

  • Same low-volume, high-concentration approach as cervical
  • Volumes as low as 0.5 mL are nonselective, so use 0.2-0.3 mL
  • Evaluate contrast flow for any spread beyond the targeted spinal nerve

Therapeutic vs. Diagnostic Targeting (per IPSIS)

A critical IPSIS teaching point is the distinction between therapeutic and diagnostic targeting:

  • Therapeutic injections require injectate delivery to the ventral epidural space at the contact zone between the neural element and impinging pathology. These are NOT segmentally specific (spread to adjacent foramina occurs via Hofmann's ligament fenestrations) and should never be used for diagnostic purposes.
  • Diagnostic SNBs require unique targeting more laterally at the foramen with severely limited injection volumes to prevent distribution into the central epidural space medially or the plexus laterally.

Key Points

  • Use approximately 0.5 mL of local anesthetic — larger volumes spread to adjacent levels and reduce specificity
  • Contrast injection (0.1-0.3 mL) before anesthetic confirms limited spread to the target nerve
  • Patient must have active concordant pain at the time of the block for valid results
  • Document baseline VAS/NRS and have the patient score immediately after
  • Use a pain diary: patient records pain levels every 30 minutes for 6-8 hours post-block
  • Ask the patient to perform provocative activities during the anesthetic window
  • If multilevel SNRBs are needed, perform them on separate days to avoid confounding
  • IPSIS specifies 0.2 mL of high-concentration anesthetic (e.g., 4% lidocaine) for lumbar SNB — even 0.5 mL is nonselective
  • No steroid should be used for diagnostic blocks — the added volume destroys specificity (per IPSIS)
  • Therapeutic TFESI is NOT segmentally specific and must never be used for diagnostic purposes (per IPSIS)
  • A more lateral, retroneural needle placement improves diagnostic selectivity but beware of lateral plexus flow
  • Short-acting lidocaine is preferred for SNBs to limit motor block duration and recovery time
  • Cervical SNBs use 0.2-0.3 mL of contrast first, then 0.2-0.3 mL of anesthetic — same low-volume principle as lumbar

References

  • Sasso RC et al. (2005). Selective nerve root injections can predict surgical outcome for lumbar and cervical radiculopathy. Spine.